挽救生命 刻不容缓 勇于担当 责无旁贷


医院全景.png

 

       11月28日星期六,上午8时59分,伴随着救护车的呼啸声,一位昏迷患者被推进抢救室。急诊内科医生接诊后立即为患者实施头颅CT、心肺CT、心电图、血化验等检查,考虑患者为脑梗死,立即通知急诊溶栓班的值班医生。

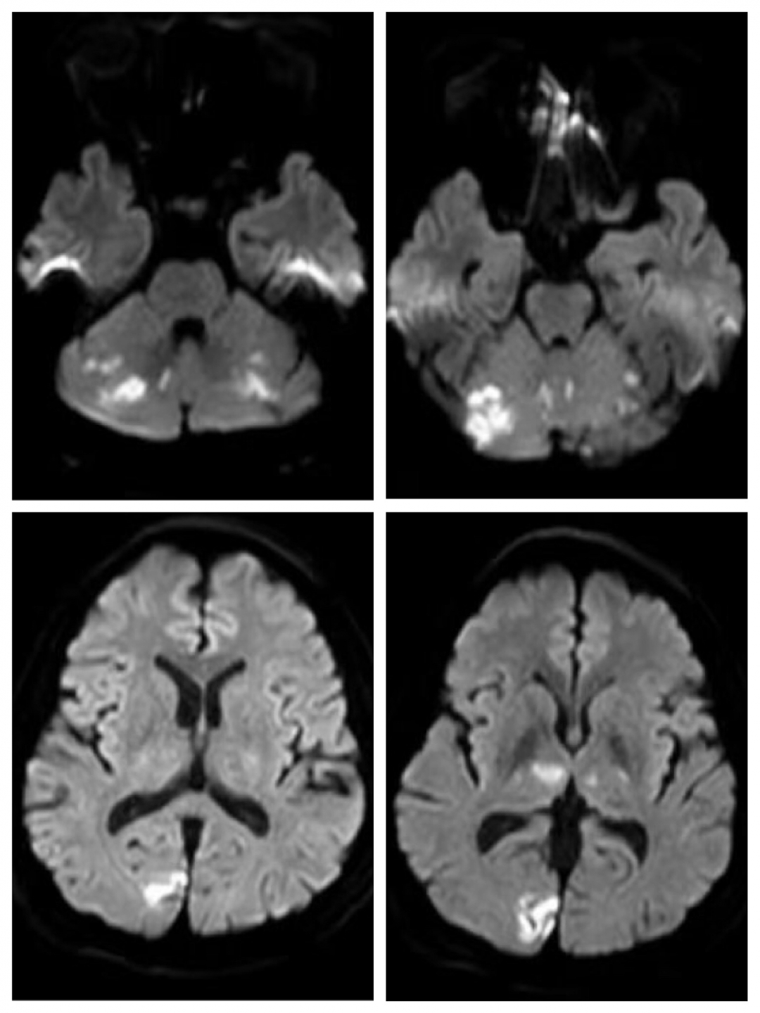
      当日轮值我院卒中中心急诊溶栓班的神经内二科主治医师贾磊华即刻到位,通过仔细询问病史,查体后初步诊断为后循环梗死。随即开启卒中中心绿色通道,紧急为患者安排头颅核磁及磁共振血管成像检查,结果可见双侧小脑、颞枕叶、丘脑多发梗死,确诊为急性后循环梗死——基底动脉尖综合征。

68170ac8a8842e4d331cdc3b7f5130a.jpg

(溶栓前患者头颅磁共振成像及磁敏感加权成像)

 

 

      脑卒中发病率高、致残率高,尤其后循环梗死后果更加严重,急性期如果得不到及时诊断和治疗极易重度致残并危及生命。溶栓、动脉拉栓治疗是目前公认的缺血性脑卒中最有效的救治方法,但有严格的时间窗要求,静脉溶栓限定在4.5小时内,动脉拉栓可以适当延长,但是需要高昂的费用。由于患者独居且家里并不宽裕,入院以来一直陪同在患者身旁的只有他年迈的老母亲,患者早晨被发现昏迷,发病时间并不能确定,这无疑为下一步治疗方案的选择增加了极大的风险。在了解了患者的病情后,老人望着深昏迷的儿子泪流满面。

 

      时间一分一秒的过去,患者的生命徘徊在生与死的边缘。贾磊华医生一边关注着患者病情变化,一边电话请示科室主任卢波下一步治疗方案。卢主任指示,虽然患者梗死时间不明,且已见多发梗死灶,溶栓风险大,且治疗结果不确定,一旦出现严重溶栓并发症,医护人员有可能面临纠纷风险。但时间就是大脑,尤其后循环梗死严重致残致死率极高,对本人及家人很可能是灾难性的后果,冒险溶栓,尚有一线生机,而且文献及指南对后循环梗死的溶栓时间窗问题都建议仔细评估下可以适当延长,只要取得家属同意,为了挽救生命,可以冒险使用。

      贾医生再次向患者家属交代病情及溶栓风险,老人家在绝望中看到希望,暗淡的眼神里有了光芒,她表示理解,积极配合签字。10点40分,给予患者静脉溶栓治疗,15分钟后患者神志转清,能正确回答问题,四肢可抬起,老人破涕而笑,兴奋地呼喊着儿子的名字。1小时后溶栓顺利完成,患者转危为安,因患者被检出活动性肺结核,遂收入我院结核病科继续治疗。24小时后复查头颅CT未见出血。目前患者神经功能基本恢复正常。

7be5269c78d40f283b3df2db004ff95.jpg

(溶栓后患者基本神经功能恢复状态)

 

 

 

      治疗期间,卢波主任一直关注着患者的病情发展,并反复叮嘱,患者后循环血管条件差,右侧椎动脉纤细,左侧椎动脉V4段重度狭窄,考虑为责任血管,待患者脑梗死、肺结核稳定后建议进一步行脑血管造影,行支架置入术,彻底根除隐患。

(患者头颅动脉血管磁共振成像)

      医学是一门不确定的科学,医疗风险无处不在。如果患者和家属给予医生充分的信任和理解,医者在医疗决策中就会增加几分冒险的勇气。因为当患者的生命受到威胁时,抢救他的医生唯一的信念就是“救活他”,这不仅仅是对生命的敬畏,更是对职责的担当!

 

 

 

 

 

作者:贾磊华

文编:赵晓丹

美编:谢建武

审核:张晓娟

主审:丁   洁

 

公众号.jpg
扫码关注
保定市第二中心医院